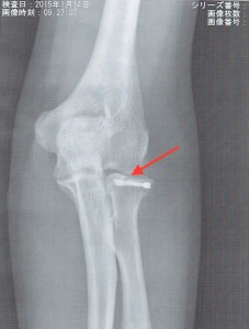
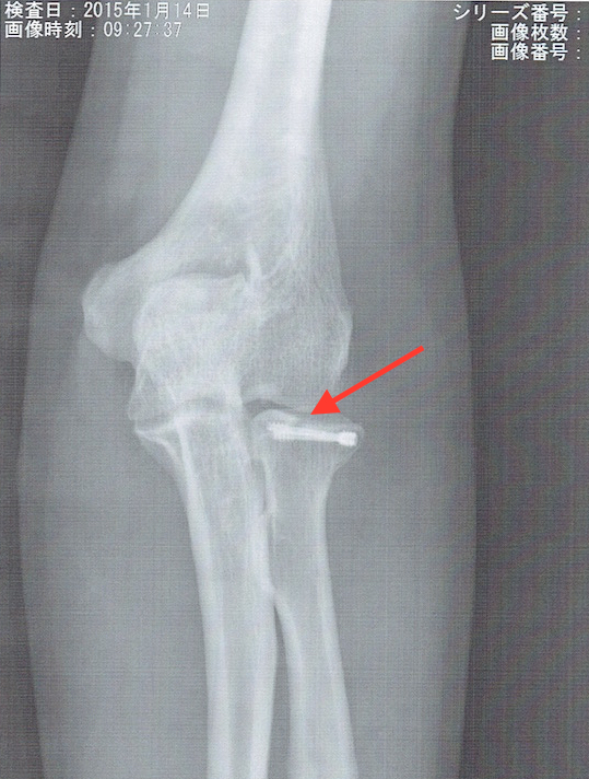
今までにもブログにも何度となく書きましたが、昨年6月のある日の深夜に、当院のドアを壊して押し入ろうとした強盗に私が気がつき、犯人を捕まえようと追いかけたところ、凶器(ナイフとバール)で襲われ、顔面や腕の骨折等の重症を負わされた事件がありました。
血まみれになりながらも、犯人を絶対に逃がさないように抵抗した結果、結局は犯人は到着した警察により逮捕。
その後裁判となっていたのですが、今日神戸地裁にて判決が出ました。
懲役3年の実刑判決。
危うく殺されそうになった私は、判決を聞いたときにはそんなものかとは思いましたが、担当の検事さんによると裁判官が下した判決は、同様の事件からすると重いほうだそうです。
私と目撃者の証言に整合性があると認められたことや、被告の証言にウソと思われることが多く、反省も全くしていなかったため、このような判決が出たとのこと。
ほんと、反省をして、しっかりと罪を償ってほしいものです。
それにしても、この男のおかげでいろんなことを初体験させられました。
生まれて初めての骨折、全身麻酔、手術、入院、刑事さん達とおこなった実況見分、そして検察庁や裁判所へ行ったこと、法廷での証言…
あまり体験したいものはなかったですね(-_-;
あと、この事件を通して私自身は自己反省をしないといけません。
凶器を持った者に素手で立ち向かっていくとか、あまりに無謀なことをすると、ヘタをすれば命を落とすこともあること、そして危ないと思ったら深追いせずに逃がすことも必要なんだなってことを痛感しました。
とにかく無茶はアカンということですね(^^;
何よりもまずは110番通報ですね。
皆さまも万が一の時にはお気をつけください。





